Παράκαμψη προς το κυρίως περιεχόμενο
Doctor Vres
Secondary
Αρχική
Ειδικότητες
Σχετικά
Επικοινωνία
Είσοδος
Αναζήτηση
Κοντά σας
Χάρτης
Προσφορές
ΧΕΙΡΟΥΡΓΟΣ ΟΔΟΝΤΙΑΤΡΟΣ ΓΕΩΡΓΙΑΔΗ ΕΡΜΙΟΝΗ
Tabs group καταχώρησης
Επικοινωνία
Χειρ. Οδοντίατροι
,
Οδοντίατροι
ΧΑΪΔΑΡΙ ΑΤΤΙΚΗΣ
,
ΑΤΤΙΚΗ
,
ΣΤΕΡΕΑ ΕΛΛΑΔΑ
Γεωργίου Παπανδρέου 22, Δάσος Χαϊδαρίου 12462
2105821816
6945410551
egeorgiadi@hotmail.com
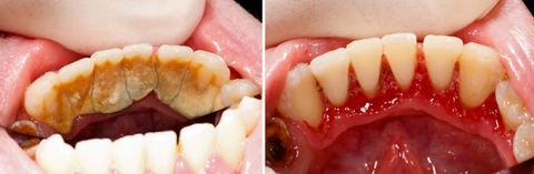
Φωτογραφίες
Προσφορές
Πως θα έρθετε
Δρομολόγηση (Google Maps)
Pinterest